首页 行业华体会(中国) 政策法规 产业市场 节能技术 能源信息 宏观环境 会议会展 活动图库 资料下载 焦点专题 智囊团 企业库
行业华体会(中国)  华体会网页版登录入口 >> 行业华体会(中国) >> 行业要闻 >> 正文
联合研究发现:儿童新冠病毒感染在疫情初期已发生
来源:中国科学报社微信公号“小柯生命” 时间:2020/3/16 8:13:39 用手机浏览

2020年3月12日,武汉大学蓝柯、刘映乐,复旦大学余宏杰联合华中科技大学同济医院孙自镛等研究人员在顶级学术期刊《新英格兰医学杂志》上发表论文,题为“Detection of Covid-19 in Children in Early January 2020 in Wuhan, China”,对武汉市2020年1月早期儿童新冠病毒感染情况分析发现,在疫情初期,儿童新冠病毒感染业已发生。



目前仅有少数儿童新冠病毒感染的报道,人们对疾病谱的了解仍很有限。

研究组对中国武汉市住院儿童进行了回顾性分析。



2020年1月7日至1月15日,研究组在同济医院的三家分院中招募了366名住院儿童(≤16岁)进行回顾性研究,这三家分院均位于武汉中心,彼此相距14至34公里。



该研究得到同济医院伦理委员会的批准。

在366名儿童中,最常见的病原体是甲型流感病毒(23例,占6.3%)和乙型流感病毒(20例,占5.5%)。有6例(1.6%)患儿检测到了新冠病毒。


研究组从新冠病毒感染患儿的父母或监护人那里获得了知情同意,以公布其临床数据。

6名新冠病毒感染患儿的发病日期为2020年1月2日至1月8日,并在1月7日至1月13日住院。




6名患儿的中位年龄为3岁,此前均完全健康。

常见的临床特征包括高烧(>39℃)(6名)、咳嗽(6名)和呕吐(4例)。
实验室检测结果表明,分别有6名、4名和3名患儿的淋巴细胞、白细胞和中性粒细胞水平低于正常范围。

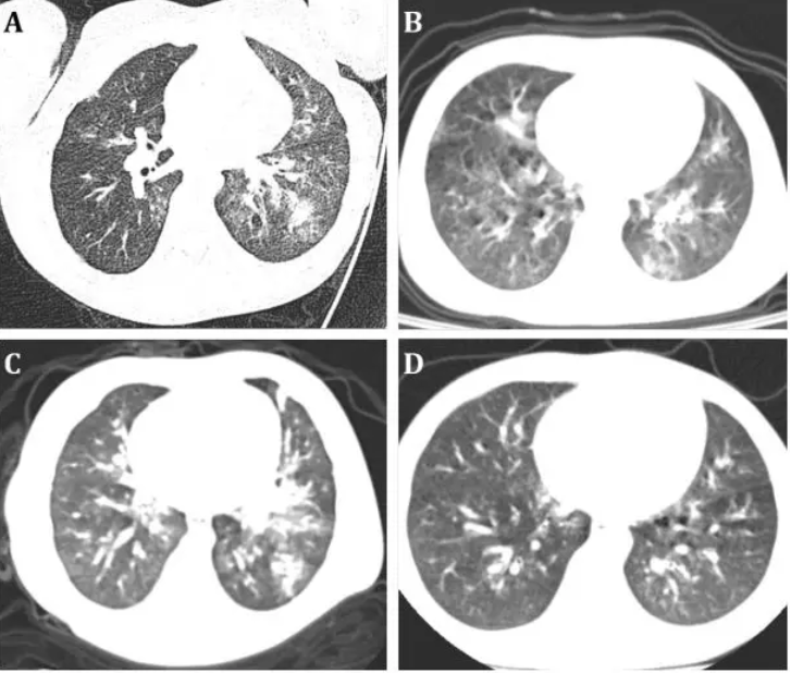
经影像学评估,6名患儿中有4名患有肺炎,胸部CT扫描显示典型的病毒性肺炎类型。



一名患儿被送入儿科重症监护病房(ICU),并接受了来自健康捐赠者的人免疫球蛋白。

所有患儿均接受了抗病毒药、抗生素和支持疗法的经验性治疗,中位住院7.5天后均康复。

这项研究表明,在武汉新冠病毒爆发早期,儿童新冠病毒感染可引起中度至重度呼吸系统疾病,并导致一名患儿被收入ICU。


患儿或家属均没有直接接触过华南海鲜批发市场或彼此直接接触过。
值得一提的是,研究组意外发现了武汉市以外的一名新冠病毒感染患儿。
该患儿于2020年1月2日发病,她和家人是黄石市阳新县的居民,在发病前一个月没有出过黄石。

研究组尚未确定这名患儿的感染源。


上述发现表明,在疫情初期,儿童新冠病毒感染业已发生。





分享到:
相关文章 iTAG:
世卫组织:中国以外新冠肺炎确诊病例达32778例
美国副总统承认检测试剂盒不足,美媒:政府仍未做好准
美国纽约州确诊首例新冠肺炎病例,近期曾赴伊朗
钻石公主号后续:邮轮上还留有150名船员,预计几天内下
疫情与财政|货币政策不能过度反应,目前通胀已较明显
日本部分药店将口罩与高价商品捆绑销售,引起有关部门
学者防疫调研|城市社区治理在疫情中暴露的真问题
频道推荐
服务中心
微信公众号

CESI
关于本站
版权声明
广告投放
网站帮助
联系我们
网站服务
会员服务
最新项目
资金服务
园区招商
展会合作
华体会网页版登录入口是以互联网+节能为核心构建的线上线下相结合的一站式节能服务平台。
©2007-2020 CHINA-ESI.COM
鄂ICP备19009381号-2
节能QQ群:39847109
顶部客服微信二维码底部
扫描二维码关注官方公众微信